Apikal Akciğer Nodülü Nedir?
Apikal akciğer nodülü, akciğerin üst kısmında, yani akciğerin apex bölgesinde gelişen küçük bir lezyondur. Bu nodüller, genellikle birkaç milimetre ile birkaç santimetre arasında değişebilir. Apikal bölge, akciğerin üst kısmındaki daha geniş bir alandır ve solunum sistemindeki önemli damarlar ve hava yolları burada bulunur. Nodüller genellikle akciğerin apikal kısmındaki dokuda gelişir ve bazen göğüs röntgeni veya BT taraması sırasında bir tesadüf olarak ortaya çıkar.
Apikal akciğer nodüllerinin büyük çoğunluğu benign (iyi huylu) olup, bazıları ise kanserli olabilir. Bu nedenle, tıbbi uzmanlar, apikal nodül tespit edilen her vakada, bu lezyonun türünü ve ne kadar ciddi olduğunu belirlemek için çeşitli tetkikler yaparlar.
Apikal Akciğer Nodüllerinin Nedenleri
Apikal akciğer nodüllerinin nedenleri geniş bir yelpazeye yayılabilir. Bu nodüller çoğu zaman bazı hastalıkların belirtisi olabilir, ancak bazen herhangi bir sağlık sorunu ile ilişkili olmayabilirler. Apikal akciğer nodüllerinin yaygın nedenleri şunlardır:
- Enfeksiyonlar: Enfeksiyonlar, apikal akciğer nodüllerinin en yaygın nedenlerinden biridir. Özellikle tüberküloz, fungal enfeksiyonlar veya bakteriyel enfeksiyonlar akciğer dokusunda nodül oluşumuna yol açabilir. Tüberküloz gibi enfeksiyonlar, akciğerlerin apikal bölgesinde sıklıkla skar dokusu bırakabilir.

- Tüberküloz (TB): Tüberküloz, akciğerlerin apikal bölgesini etkileyen en yaygın enfeksiyonlardan biridir. TB enfeksiyonu, akciğerlerde nodül oluşumuna yol açarak röntgen veya BT görüntülerinde görünür hale gelir.
- Fungal Enfeksiyonlar: Aspergillosis ve histoplazmoz gibi fungal enfeksiyonlar da akciğerlerde nodül oluşumuna neden olabilir. Bu tür enfeksiyonlar özellikle bağışıklık sistemi zayıf olan kişilerde yaygındır.
- İyi Huylu Tümörler: Apikal akciğer nodülleri bazen iyi huylu tümörlerden kaynaklanabilir. Hamartomlar, akciğerlerdeki yaygın iyi huylu tümörlerden biridir ve bunlar apikal bölgedeki dokularda nodüller oluşturabilir.
- Kötü Huylu Tümörler: Apikal akciğer nodüllerinin bazıları kanserli olabilir. Akciğer kanseri, apikal bölgede veya başka bölgelerde gelişebilecek bir tümör türüdür. Birçok akciğer kanseri türü, özellikle apikal bölgelerde nodül oluşumuna yol açabilir. Kanserin erken evrelerinde, nodüller küçük ve belirgin olmayabilir, bu da onları tespit etmeyi zorlaştırır.
- Yaralanmalar ve Travmalar: Akciğerlerdeki yaralanmalar veya travmalar, özellikle kazalar sonucu, apikal bölgede skar dokusu veya fibrozis oluşmasına yol açabilir. Bu dokular zamanla nodül şeklinde görünebilir.
- Kronik Obstrüktif Akciğer Hastalığı (KOAH): KOAH, akciğerlerin hava yollarını daraltan bir hastalık olup, uzun süreli sigara içiciliği ve diğer solunum yolu enfeksiyonları nedeniyle akciğerlerde skar dokusu ve nodüller gelişebilir.
- Çevresel ve Kimyasal Maruziyetler: Mesleki maruziyetler, örneğin asbest gibi zararlı maddeler, akciğerlerde nodül oluşumuna neden olabilir. Asbest, apikal bölgedeki akciğer dokusunda plaklar ve nodüller oluşturabilen bir madde olarak bilinir.
- Vasküler Anomaliler: Bazı vasküler anomaliler, akciğerlerin apikal bölgesinde damarlarla ilgili anormallikler yaratabilir. Bu anormallikler bazen nodüller şeklinde tespit edilebilir.
Apikal Akciğer Nodüllerinin Belirtileri
Apikal akciğer nodülleri çoğunlukla herhangi bir belirti göstermez ve çoğu zaman görüntüleme testlerinde tesadüfen keşfedilir. Ancak, nadiren bazı hastalar aşağıdaki belirtileri yaşayabilir:
- Öksürük: Uzun süreli ve sürekli öksürük, apikal akciğer nodüllerinin bir belirtisi olabilir. Özellikle enfeksiyonlar veya kanserler nedeniyle gelişen nodüller öksürüğe yol açabilir.
- Nefes Darlığı: Apikal akciğer nodüllerinin büyümesi, hava yollarını etkileyebilir ve nefes almayı zorlaştırabilir. Bu durumda, kişide nefes darlığı, egzersiz yaparken zorluklar veya dinlenme sırasında bile nefes almakta zorluklar görülebilir.
- Göğüs Ağrısı: Apikal akciğer nodülleri bazen göğüs ağrısına yol açabilir. Bu ağrı, nodülün yerleşimine ve nedenine bağlı olarak değişebilir. Kanserli nodüller, bazen ağrılı olabilir.
- Hışırtılı Solunum: Hışırtılı solunum, hava yollarındaki tıkanıklık veya daralmalar nedeniyle meydana gelebilir. Apikal nodüller, özellikle enfeksiyonlar veya kanserler söz konusu olduğunda bu tür bir belirtiye yol açabilir.
- Ateş: Enfeksiyonlardan kaynaklanan apikal akciğer nodülleri, ateşle birlikte olabilir. Enfeksiyonlar, vücutta iltihabi bir tepki yaratarak ateşin yükselmesine neden olabilir.
- Kanlı Balgam: Nodüllerin kanserli veya enfeksiyon nedeniyle oluşmuş olması durumunda, hastalar balgamda kan görebilirler. Bu belirti özellikle ciddi bir durumun habercisi olabilir.
Apikal Akciğer Nodüllerinin Tanısı
Apikal akciğer nodüllerinin tanısı, genellikle görüntüleme yöntemleri ve klinik değerlendirmelerle konur. İyi huylu nodüller genellikle takibe alınırken, kanserli nodüller daha ileri testler gerektirir.

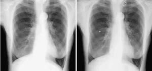
- Göğüs Röntgeni: Apikal akciğer nodüllerinin tespiti için ilk adım genellikle göğüs röntgenidir. Ancak, küçük nodüller röntgende net bir şekilde görülemeyebilir.
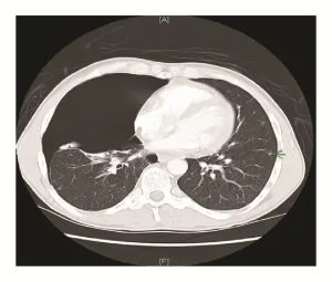
- Bilgisayarlı Tomografi (BT): Daha ayrıntılı bir görüntüleme yöntemi olan BT, apikal akciğer nodüllerinin yerini, boyutunu ve özelliklerini daha doğru bir şekilde belirleyebilir.
- Manyetik Rezonans Görüntüleme (MRI): Daha az yaygın olmakla birlikte, bazı durumlarda MRI kullanılarak akciğer nodüllerinin değerlendirilmesi gerekebilir.
- Biyopsi: Eğer nodül kanserden şüpheleniliyorsa, hastaya biyopsi yapılabilir. Biyopsi, dokudan örnek alınıp mikroskop altında incelenerek kanserli hücrelerin varlığına bakılır.
- Pozitron Emisyon Tomografisi (PET): PET taraması, kanserin yayılmasını ve nodüllerin malign olup olmadığını belirlemek için kullanılır.
Apikal Akciğer Nodüllerinin Tedavisi
Apikal akciğer nodüllerinin tedavisi, nodülün nedenine, büyüklüğüne ve diğer faktörlere bağlı olarak değişir. Tedavi yöntemleri şunları içerebilir:
- Takip ve İzleme: Çoğu apikal akciğer nodülü iyi huyludur ve tedaviye gerek yoktur. Bu durumlarda, doktorlar genellikle düzenli izleme ve takip önerir.
- Antibiyotik ve Antifungal Tedavi: Eğer nodül bir enfeksiyon sonucu gelişmişse, antibiyotik veya antifungal tedavi gerekebilir.
- Cerrahi Müdahale: Kanserli veya büyüyen nodüller için cerrahi müdahale gerekebilir. Bu, tümörün çıkarılması veya lezyonun büyümesinin engellenmesi için yapılabilir.
- Radyoterapi ve Kemoterapi: Eğer nodül kanserli ise, tedavi genellikle radyoterapi veya kemoterapiyi içerir.
Apikal akciğer nodülü, genellikle iyi huylu olup, doğru izleme ve tedavi ile yönetilebilir. Ancak, kanserli olma ihtimali nedeniyle bu durumun ciddiye alınması ve zamanında tedavi edilmesi önemlidir. Apikal akciğer nodüllerinin erken tespiti, etkili tedavi için kritik bir rol oynar. Herhangi bir akciğer hastalığı şüphesi olan kişiler, profesyonel sağlık hizmetleri almak için en kısa sürede doktora başvurmalıdır.
