Beyin kisti, beynin içinde sıvı ile dolmuş bir kese ya da boşluktur. Beyin kistleri, genellikle beynin belirli bir bölgesinde oluşur ve bir doku yığınına, sıvıya ya da hava boşluğuna dönüşebilir. Beyin kistleri, doğuştan olabileceği gibi, sonradan gelişen hastalıklar veya travmalar nedeniyle de oluşabilir. Çoğu kist iyi huyludur, ancak bazıları ciddi sağlık sorunlarına yol açabilir.
Beyin kistlerinin çoğu, zamanla büyüyüp beynin normal fonksiyonlarını etkilemedikleri sürece tedavi gerektirmez. Ancak, beyin kisti büyürse ve önemli bir bölgeyi sıkıştırmaya başlarsa, baş ağrıları, nöbetler, denge kaybı gibi semptomlara neden olabilir.
Beyin Kisti Türleri
Beyin kistlerinin birçok farklı türü bulunmaktadır. Her biri farklı semptomlara, gelişim şekillerine ve tedavi gereksinimlerine sahiptir. Beyin kistlerinin bazı yaygın türleri şunlardır:
1. Arachnoid Kist
Arachnoid kistler, beyin zarlarının (özellikle arachnoid zarı) arasında oluşan sıvı dolu keseciklerdir. Genellikle beyin yüzeyinde veya spinal kordda bulunurlar. Bu tür kistler, çoğu zaman herhangi bir belirtiye yol açmaz, ancak büyüdüklerinde baş ağrısı, nöbetler, görme problemleri veya koordinasyon kaybı gibi sorunlara yol açabilir.
2. Koroid Plexus Kisti
Koroid plexus kisti, beyin omurilik sıvısını üreten bir bölgedeki kistlerdir. Bu kistler genellikle doğuştandır ve genellikle beyin gelişim sürecinde oluşur. Çoğu zaman herhangi bir belirti göstermezler ve tedavi gerektirmezler.
3. Kolloid Kist
Kolloid kist, beynin üçüncü ventrikülünde gelişen sıvı dolu bir kesedir. Genellikle doğuştandır, ancak zamanla büyüyebilir ve beyin sıvısının akışını engelleyebilir. Bu durumda hidrosefali (beyinde sıvı birikmesi) meydana gelebilir. Kolloid kistleri genellikle tedavi gerektirebilir, çünkü büyüdüklerinde baş ağrısı, görme kaybı veya nöbetlere yol açabilirler.
4. Epidermoid Kist
Epidermoid kistler, beyin zarlarında oluşan sıvı dolu keseciklerdir. Genellikle beyin veya omurilik çevresinde yer alırlar. Bu tür kistler, doğuştan gelen anormal hücresel gelişim nedeniyle oluşur ve zamanla büyüyebilirler. Epidermoid kistler, baş ağrıları, görme problemleri ve denge kaybı gibi semptomlara yol açabilir.
5. Dermoid Kist
Dermoid kistler, beyin zarları arasında sıvı dolu keseciklerdir, ancak bu tür kistler genellikle vücutta normalde bulunan hücreleri içerir. Genellikle doğuştan gelirler ve zamanla büyüyebilirler.
6. Nörojenik Kist
Nörojenik kistler, beyin dokusunda meydana gelen sıvı dolu kistlerdir ve çoğu zaman başka bir nörolojik duruma bağlı olarak gelişirler. Genetik bozukluklar veya beyin travmalarının etkisiyle ortaya çıkabilirler.
Beyin Kistinin Nedenleri
Beyin kistlerinin nedeni çok çeşitli faktörlere dayanabilir. Beyin kistleri, genetik faktörler, doğumsal anormallikler, beyin travmaları, enfeksiyonlar veya beyin hastalıkları sonucu gelişebilir. Beyin kistlerinin oluşumunu etkileyebilecek bazı yaygın nedenler şunlardır:

1. Doğuştan Anormallikler
Beyin kistleri, doğum öncesi gelişim sırasında anormal hücre bölünmesi ve doku gelişimi nedeniyle oluşabilir. Genetik faktörler ve çevresel etmenler, bu tür anormalliklerin ortaya çıkmasına katkıda bulunabilir.
2. Beyin Travması
Başın travma alması, beyin zarları arasındaki boşluklarda sıvı birikmesine neden olabilir ve bu da kist oluşumuna yol açabilir. Kafa travması sonrası gelişen beyin kistleri, genellikle cerrahi müdahale gerektirebilir.
3. Enfeksiyonlar
Beyin enfeksiyonları, beyin zarlarında iltihaplanmalara yol açabilir ve sıvı dolu kistlerin oluşumuna zemin hazırlayabilir. Enfeksiyonlar, kistin büyümesine veya beyin dokusunun hasar görmesine neden olabilir.
4. Genetik Faktörler
Bazı beyin kistleri, genetik faktörlerin etkisiyle oluşabilir. Özellikle bazı kalıtsal hastalıklar, beynin sıvı dolu kistler geliştirmesine neden olabilir.
5. Beyin Tümörleri
Bazı beyin tümörleri, sıvı ile dolmuş kistler oluşturan hücrelerin büyümesine yol açabilir. Tümörlerin büyümesi, çevresindeki dokuları etkileyerek sıvı birikmesine neden olabilir.
Beyin Kisti Belirtileri
Beyin kistleri çoğu zaman belirti vermez ve birçok kişi kistlerin farkına bile varmaz. Ancak bazı durumlarda, beyin kistlerinin büyümesi, çevresindeki dokulara baskı yaparak belirtilere yol açabilir. Beyin kistinin belirtileri genellikle kistin türüne, boyutuna ve yerleşim yerine bağlıdır. Yaygın belirtiler şunlardır:

1. Baş Ağrıları
Kistler büyüdükçe, beyin üzerindeki baskı artar ve bu da baş ağrılarına neden olabilir. Baş ağrıları, bazen şiddetli olabilir ve sürekli hale gelebilir.
2. Nöbetler
Beyin kistleri, beynin elektriksel faaliyetini etkileyebilir. Bu da nöbetlere yol açabilir. Nöbetler, kaslarda titreme, bilinç kaybı ve kontrolsüz hareketlerle kendini gösterebilir.
3. Görme Problemleri
Beyin kistleri, göz kaslarını veya görme yollarını etkileyebilir. Görme kaybı, bulanık görme veya çift görme gibi semptomlar ortaya çıkabilir.
4. Koordinasyon ve Denge Kaybı
Kistler, beyinde dengeyi düzenleyen alanlara baskı yapabilir. Bu durumda, koordinasyon kaybı ve düşme gibi sorunlar yaşanabilir.
5. Zihinsel Durumda Değişiklikler
Beyin kistleri, beynin düşünme ve hafıza ile ilgili bölümlerini etkileyebilir. Bu da ruh hali değişiklikleri, hafıza kaybı veya dikkat eksikliği gibi sorunlara yol açabilir.
Beyin Kisti Teşhisi
Beyin kistinin teşhisi genellikle bir dizi test ve görüntüleme yöntemi ile yapılır. Beyin kistini tespit etmek için yaygın olarak kullanılan yöntemler şunlardır:
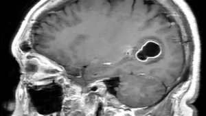
1. MR (Manyetik Rezonans) Görüntüleme
Beyin kistlerinin tespitinde en etkili yöntemlerden biri MR’dır. Manyetik rezonans görüntüleme, beyin dokusunu ayrıntılı bir şekilde görüntüleyerek kistlerin yerini ve büyüklüğünü belirler.
2. BT (Bilgisayarlı Tomografi) Taraması
Bilgisayarlı tomografi, beyin kistlerinin belirlenmesinde kullanılan bir başka yöntemdir. BT taramaları, kistin yapısını ve çevresindeki beyin dokusunu hızlı bir şekilde inceleyebilir.
3. Beyin Dalgaları (EEG)
EEG, beyin elektriksel aktivitelerini ölçen bir testtir. Nöbetleri değerlendirmek için kullanılabilir ve kistin nörolojik etkileri hakkında bilgi verebilir.
Beyin Kisti Tedavisi
Beyin kistlerinin tedavisi, kistin büyüklüğüne, türüne ve neden olduğu semptomlara bağlıdır. Tedavi genellikle şu yöntemlerle yapılabilir:
1. Cerrahi Müdahale
Beyin kisti cerrahisi, kistin çıkarılması veya sıvısının boşaltılması amacıyla yapılır. Cerrahi müdahale, genellikle kistin beyin dokusuna baskı yapması durumunda gerekli olur.
2. İlaç Tedavisi
Bazı beyin kistleri ilaçlarla tedavi edilebilir. Özellikle enfeksiyonlardan kaynaklanan kistler antibiyotiklerle tedavi edilebilir.
3. Takip ve İzleme
Çoğu beyin kisti, herhangi bir semptoma yol açmadığında tedavi gerektirmez. Bu durumda hastalar, düzenli olarak izlenebilir ve kistin büyüyüp büyümediği takip edilebilir.
Beyin kisti, genellikle iyi huylu olmasına rağmen, bazı durumlarda ciddi sağlık sorunlarına yol açabilir. Erken teşhis, tedaviye yönelik adımların atılmasında önemli bir rol oynar. Beyin kistlerinin semptomlarını gözlemlemek, nörolojik sağlık sorunlarına karşı erken müdahale için kritik öneme sahiptir. Beyin kistleri hakkında farkındalık, etkili tedavi yöntemlerinin geliştirilmesine yardımcı olabilir.