Mastositoz, mast hücrelerinin vücutta anormal şekilde çoğalması sonucu ortaya çıkan bir hastalıktır. Mast hücreleri, vücudun bağışıklık tepkisini düzenlemek, enfeksiyonlara karşı koruma sağlamak ve alerjik reaksiyonları başlatmak için önemli olan hücrelerdir. Normalde mast hücreleri, vücutta belirli bir düzeyde bulunur ve vücudun savunma sistemine yardımcı olur. Ancak mastositozda, bu hücreler kontrollü bir şekilde çoğalmaz, bunun yerine aşırı birikim yaparak bir dizi sağlık problemine yol açar.
Mastositoz, genellikle ciltte görülen döküntülerle başlar, ancak hastalık zamanla iç organları da etkileyebilir. Ciltteki döküntüler, çoğunlukla kaşıntılı, kızarık, kabarık ve bazen de ağrılı olabilir. Bazı vakalarda, mastositozun daha ileri aşamaları, organları etkileyerek karaciğer, dalak, kemik iliği, mide ve bağırsak gibi iç organlarda hasara neden olabilir.
Mastositoz, genellikle iki ana gruba ayrılır: Cilt Tipi Mastositoz (Kutaneous Mastocytosis) ve Sistemik Mastositoz (Systemic Mastocytosis).
Mastositozun Türleri
1. Cilt Tipi Mastositoz (Kutaneous Mastocytosis)
Cilt tipi mastositoz, mast hücrelerinin deri altındaki dokuya birikmesiyle başlar. Bu tür, genellikle çocuklarda daha yaygındır ve ciltte kaşıntılı, kızarık ve kabarık döküntülerle kendini gösterir. Cilt tipi mastositozda, hastalar bazen deri altındaki mast hücrelerinin etkisiyle aniden yayılabilen kurdeşen benzeri döküntüler (urtikarya) deneyimleyebilirler.
Bu türde, döküntüler genellikle sıcaklık değişiklikleri, stres veya alerjik reaksiyonlar ile tetiklenebilir. Deri üzerindeki döküntüler bazen sıklıkla “deri testleri”yle teşhis edilir ve bu, genellikle hastaların iyileşme şansının yüksek olduğu anlamına gelir.
2. Sistemik Mastositoz (Systemic Mastocytosis)
Sistemik mastositoz, mast hücrelerinin vücuttaki farklı organlara yayılmasıyla gelişir. Bu tür, genellikle daha ciddi bir durumdur çünkü organlara zarar verebilir ve vücudun çeşitli sistemlerini etkileyebilir. Sistemik mastositozda, mast hücreleri deri dışında kemik iliği, karaciğer, dalak ve sindirim sistemini etkileyebilir.
Sistemik mastositoz, hem çocuklar hem de yetişkinlerde görülebilir. Bu türde, hastalar genellikle cilt döküntülerinin yanı sıra mide bulantısı, ishal, karın ağrısı, kemik ağrıları ve hatta anafilaksi gibi şiddetli alerjik reaksiyonlar yaşayabilirler. Sistemik mastositoz, daha nadir görülen ancak daha zor tedavi edilebilen bir türdür ve genellikle doktorlar tarafından daha dikkatli bir şekilde izlenmesi gerekir.
Mastositozun Nedenleri
Mastositozun tam olarak ne sebeple oluştuğu tam olarak bilinmemektedir, ancak genetik faktörler ve çevresel etkenlerin hastalığın gelişimine katkıda bulunabileceği düşünülmektedir. Mastositoz genellikle spontan bir mutasyon sonucu ortaya çıkar, ancak bazı hastalarda genetik yatkınlık da rol oynayabilir.

Genetik Yatkınlık
Mastositozun bazı formları, genetik mutasyonlardan kaynaklanır. Genetik mutasyonlar, özellikle KIT geni üzerinde gerçekleşebilir. KIT geni, mast hücrelerinin gelişimi ve fonksiyonları ile ilgilidir. Bu genin mutasyonu, mast hücrelerinin aşırı çoğalmasına ve vücutta birikmesine yol açabilir. Bazı mastositoz vakaları, aile öyküsü bulunan bireylerde daha yaygın olabilir, bu da genetik faktörlerin rol oynayabileceğini gösterir.
Çevresel Etkenler
Çevresel faktörler de mastositozun gelişiminde etkili olabilir. Örneğin, bazı alerjik reaksiyonlar veya virüsler mast hücrelerini uyararak hastalığın gelişimine neden olabilir. Çevresel etkenler, genetik faktörlerle birleşerek hastalığın şiddetini artırabilir.
Sporadik Olarak Gelişen Mastositoz
Birçok mastositoz vakası, genetik faktörlere dayalı olmayan sporadik vakalardır. Yani, bu durumlar herhangi bir belirgin nedene bağlı olmadan gelişebilir ve çoğu zaman çocukluk veya erken yetişkinlik döneminde görülür.
Mastositoz Belirtileri
Mastositozun belirtileri, hastalığın türüne ve şiddetine bağlı olarak değişir. Cilt tipi mastositoz ve sistemik mastositoz arasındaki belirtiler farklılık gösterebilir. Genel olarak, mastositoz belirtileri şunları içerebilir:
Ciltte Döküntüler ve Kızarıklık: Cilt tipi mastositozda, hastalar genellikle kaşıntılı ve kızarık döküntüler yaşar. Bu döküntüler genellikle kabarık olup, sıklıkla sıcaklık değişiklikleri, alerjik reaksiyonlar veya stres gibi faktörlerden kaynaklanabilir.
Yorgunluk ve Halsizlik: Sistemik mastositozda, hastalar genellikle genel bir halsizlik ve yorgunluk hissi yaşarlar. Mast hücrelerinin vücutta birikmesi, vücut üzerinde stres yaratabilir.
Mide Bulantısı ve İshal: Mastositoz, sindirim sistemini etkileyebilir ve mide bulantısı, ishal veya karın ağrısı gibi belirtilere yol açabilir.
Alerjik Reaksiyonlar: Mastositoz, vücutta fazla mast hücresinin bulunmasından dolayı aşırı duyarlılığı artırabilir. Bu, alerjik reaksiyonların daha şiddetli hale gelmesine neden olabilir.
Ağrı ve İltihaplanma: Mastositoz, kemik iliği, karaciğer ve dalak gibi organları etkileyebilir ve bu organlarda ağrı, iltihaplanma veya büyüme görülebilir.
Anafilaksi: Nadir de olsa, mastositoz bazı hastalarda anafilaksiye neden olabilir. Bu durum, solunum güçlüğü, düşük tansiyon, şiddetli deri döküntüleri ve şişlik gibi tehlikeli alerjik reaksiyonları içerebilir.
Mastositoz Tanısı
Mastositoz tanısı genellikle klinik belirtiler, genetik testler ve biyopsilerle konulur. Tanı süreci şu adımları içerebilir:
Fiziksel Muayene ve Klinik Değerlendirme: Doktor, hastanın cilt döküntüleri ve diğer semptomlarını değerlendirerek hastalığı gözlemleyebilir. Hastanın tıbbi geçmişi ve aile öyküsü de önemlidir.
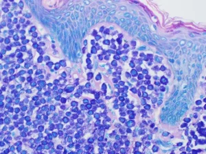
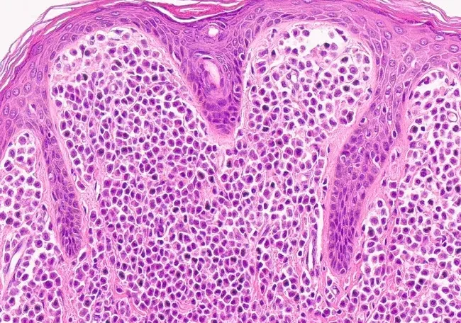
Cilt Biyopsisi: Cilt tipi mastositoz şüphesiyle başvurulan hastalarda, döküntülerden bir örnek alınarak mikroskopik inceleme yapılabilir. Mast hücrelerinin varlığı ve sayısı bu şekilde belirlenebilir.
Kan Testleri: Mastositozda kan testleri, özellikle serum histamin seviyelerinin ölçülmesi, mast hücrelerinin aşırı aktivitesini tespit etmek için kullanılabilir. Ayrıca, KIT geninin mutasyonu da kan testi ile saptanabilir.
Genetik Testler: KIT genindeki mutasyonlar, mastositoz tanısını doğrulamak için genetik testlerle tespit edilebilir.
Endoskopi: Sistemik mastositoz şüphesiyle yapılan tanıda endoskopik testler, mide veya bağırsak gibi iç organlardaki mast hücresi birikimlerini gözlemlemek için kullanılabilir.
Mastositoz Tedavi Yöntemleri
Mastositoz tedavisi, hastalığın türüne ve şiddetine bağlı olarak değişir. Genel tedavi yaklaşımları şunlardır:
Antihistaminikler: Cilt döküntülerini ve kaşıntıyı hafifletmek için antihistaminikler kullanılabilir. Bu ilaçlar, mast hücrelerinden salınan histaminin etkisini engeller.
Steroidler: İltihaplanmayı ve şişlikleri azaltmak için steroid tedavisi uygulanabilir. Steroidler, özellikle sistemik mastositozda kullanılır.
Kemoterapi ve İmmünoterapiler: İleri düzey sistemik mastositoz vakalarında, kemoterapi veya immünoterapiler kullanılabilir. Bu tedavi yöntemleri, aşırı çoğalan mast hücrelerini hedef alır.
Mast Hücre Durdurucular: Mastositoz tedavisinde kullanılan bazı ilaçlar, mast hücrelerinin aşırı salınımını engelleyerek hastalığın seyrini kontrol altına alabilir.
Desensitizasyon Tedavisi: Mastositoz hastalarında, alerjik reaksiyonları tetikleyen maddelere karşı vücuda duyarsızlaştırma tedavisi (desensitizasyon) uygulanabilir.
Mastositoz, nadir görülen ancak çeşitli organları etkileyebilen bir hastalıktır. Erken tanı ve uygun tedavi ile hastalar genellikle semptomlarını kontrol altına alabilir ve yaşam kalitelerini iyileştirebilirler. Mastositozun tedavisinde multidisipliner bir yaklaşım, hastalığın yönetilmesinde çok önemlidir. Web sitenizde bu bilgileri sunarak, mastositoz hakkında farkındalık yaratabilir ve hastalığa dair doğru bilgilendirmeyi sağlayabilirsiniz.