Polimiyozit, genellikle kaslarda iltihaplanma ve kas gücü kaybı ile karakterize edilen bir hastalıktır. “Poli” kelimesi, “çok” anlamına gelirken, “miyozit” ise kas dokusunun iltihaplanmasını ifade eder. Bu hastalık, vücudun bağışıklık sisteminin kas dokularına saldırması sonucu gelişir. Polimiyozit, genellikle vücudun kaslarını etkileyen inflamasyonla kendini gösterir. Kaslar, genellikle kaslar arasında daha büyük kas gruplarını hedef alır, özellikle kalça, uyluk ve omuz kasları etkilidir.
Polimiyozit, genellikle yetişkinlerde, özellikle 30 ila 60 yaş arasındaki kadınlarda daha yaygın görülür. Bununla birlikte, hastalık her yaşta ve her cinsiyette ortaya çıkabilir. Polimiyozit, otoimmün bir hastalık olarak sınıflandırılır, bu da bağışıklık sisteminin yanlış bir şekilde vücudun sağlıklı hücrelerine saldırdığı anlamına gelir.
Polimiyozit Nedenleri
Polimiyozitin kesin nedeni henüz tam olarak bilinmemektedir. Ancak, bu hastalığın gelişmesinde birkaç faktör etkili olabilir. Polimiyozit, genellikle otoimmün bir hastalık olarak kabul edilir, yani bağışıklık sistemi, kas dokularına zarar verir ve bu da inflamasyona yol açar. Bunun dışında polimiyozite yol açabilecek birkaç ana faktör bulunmaktadır:
1. Genetik Faktörler
Polimiyozit, bazı genetik faktörlerin etkisiyle gelişebilir. Ailede polimiyozit veya diğer otoimmün hastalıklar bulunan bireylerde, bu hastalığın gelişme olasılığı daha yüksektir. Ancak, genetik faktörler yalnızca hastalığın gelişmesinde bir etken olup, genellikle çevresel faktörlerle birleşerek hastalığı tetikler.
2. Bağışıklık Sistemi Sorunları
Bağışıklık sisteminin normalde vücudu yabancı ajanlara karşı savunması gerekir. Ancak polimiyozit gibi otoimmün hastalıklarda, bağışıklık sistemi kas dokularını yanlışlıkla hedef alır ve bu durum inflamasyona yol açar. Bağışıklık sisteminin yanlış bir şekilde kas dokusuna saldırmasının nedeni tam olarak bilinmemekle birlikte, bu tür hastalıklar bağışıklık sistemindeki bir dengesizlikten kaynaklanabilir.
3. Enfeksiyonlar
Bazı enfeksiyonlar, polimiyozitin gelişmesinde bir tetikleyici olabilir. Özellikle viral enfeksiyonlar, bağışıklık sisteminin aşırı tepki vermesine ve kas dokularına zarar vermesine yol açabilir. HIV, Epstein-Barr virüsü (EBV) ve bazı influenza virüsleri gibi enfeksiyonlar, polimiyozit gelişimiyle ilişkili olabilir.
4. Çevresel Faktörler
Çevresel faktörler, polimiyozit gelişiminde etkili olabilir. Örneğin, sigara içmek, toksik kimyasallara maruz kalmak veya bazı ilaçları kullanmak, hastalığın gelişmesine neden olabilir. Özellikle sigara içmek, bağışıklık sisteminin düzgün çalışmasını engelleyebilir ve bu da polimiyozit gibi otoimmün hastalıkların ortaya çıkmasına neden olabilir.
5. Diğer Otoimmün Hastalıklar
Polimiyozit, sıklıkla diğer otoimmün hastalıklarla birlikte görülür. Özellikle sistemik lupus eritematozus (SLE), skleroderma, romatoid artrit gibi hastalıklar polimiyozit ile ilişkili olabilir. Bu hastalıklar, vücudun bağışıklık sisteminin normal işleyişini bozarak kas dokusuna zarar verebilir.
Polimiyozitin Belirtileri
Polimiyozit, genellikle kasların zayıflaması ve ağrıması ile kendini gösterir. Belirtiler genellikle yavaşça gelişir ve zamanla kötüleşebilir. Polimiyozit hastalarında sık görülen belirtiler şunlardır:
1. Kas Gücü Kaybı
Kas gücü kaybı, polimiyozitin en belirgin belirtisidir. Hastalar, özellikle kalça, uyluk, omuz ve sırt kaslarında zayıflık hissi yaşayabilir. Bu zayıflık, hastaların normal günlük aktivitelerini yapmalarını zorlaştırabilir. Örneğin, merdiven çıkmak, bir şeyleri kaldırmak veya başlarını kaldırmak zorlaşabilir.
2. Kas Ağrısı ve Hassasiyet
Polimiyozitli hastalar, kaslarında ağrı ve hassasiyet hissedebilirler. Bu ağrı genellikle kasları hareket ettirirken veya kullanımda iken artar. Kaslardaki hassasiyet, dokunulması veya hafif bir baskı uygulanması ile artabilir.
3. Yorgunluk ve Halsizlik
Polimiyozit, genellikle yorgunluk ve halsizlik ile birlikte gelir. Kaslarda meydana gelen zayıflık ve ağrı, kişilerin günlük aktivitelerini yerine getirmekte zorlanmalarına neden olabilir. Ayrıca, hastalar sıklıkla sürekli bir yorgunluk hissi ile karşılaşabilirler.
4. Deri Değişiklikleri
Bazı polimiyozit hastalarında deri değişiklikleri de gözlemlenebilir. Özellikle göz çevresinde, boyunda veya omuzlarda kırmızı, morumsu döküntüler oluşabilir. Bu döküntüler, “Gottron’un işaretleri” olarak bilinir ve hastalığın önemli bir belirtisi olabilir.
5. Nefes Alma Zorluğu
Polimiyozit, nadiren de olsa, akciğerleri etkileyebilir. Kas zayıflığı nedeniyle nefes almayı zorlaştıran bu durum, bazı hastalarda solunum problemlerine yol açabilir.
6. Yutma Güçlüğü
Polimiyozit, kasları etkileyebileceği için yutma güçlüğüne neden olabilir. Bu durum, ağız, boğaz ve yemek borusu kaslarını etkileyerek hastaların yemekleri yutmalarını zorlaştırabilir.
7. Eklem Problemleri
Bazı polimiyozit hastalarında, eklem ağrıları da görülebilir. Bu durum, kas zayıflığına ek olarak, eklemler üzerinde de olumsuz etkiler yaratabilir.
Polimiyozit Teşhisi
Polimiyozit teşhisi, genellikle klinik belirtiler, laboratuvar testleri ve görüntüleme yöntemleri kullanılarak konur. Bu teşhis süreci, hastanın genel sağlık durumu ve semptomları hakkında detaylı bir inceleme gerektirir.
1. Fiziksel Muayene
Doktor, kas güçsüzlüğü ve kas ağrılarını değerlendirmek için bir fiziksel muayene yapar. Ayrıca, hastanın kaslarının hassasiyetini ve zayıflığını kontrol eder.
2. Kan Testleri
Polimiyozitli hastaların kanında belirli anormal düzeyde enzimler ve antikorlar bulunabilir. Özellikle, kas iltihabını gösteren creatin kinase (CK) ve aldolaz gibi enzim seviyeleri yüksek olabilir. Ayrıca, bazı hastalarda anti-Jo-1 ve anti-Mi-2 gibi spesifik antikorlar da tespit edilebilir.
3. Elektromiyografi (EMG)
EMG, kasların elektriksel aktivitesini ölçen bir testtir. Polimiyozit hastalarında, kaslarda iltihaplanma ve hasar olduğunda EMG’de anormallikler gözlemlenebilir.
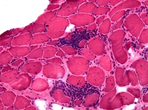
4. Kas Biyopsisi
Kas biyopsisi, polimiyozit teşhisinde en güvenilir testlerden biridir. Kas dokusundan alınan örnek, mikroskop altında incelenerek kas iltihabını gösteren bulgular arar.
5. MRI ve Diğer Görüntüleme Yöntemleri
Kaslardaki iltihabı ve hasarı değerlendirmek için manyetik rezonans görüntüleme (MRI) gibi görüntüleme yöntemleri kullanılabilir.
Polimiyozit Tedavi Yöntemleri
Polimiyozit tedavisi, hastalığın şiddetine ve kişisel durumlara bağlı olarak değişir. Tedavi genellikle ilaçlar, fiziksel terapi ve yaşam tarzı değişikliklerini içerir.
1. İlaçlar
Kortikosteroidler: Polimiyozit tedavisinde yaygın olarak kullanılan ilaçlardır. İltihaplanmayı azaltarak kasların iyileşmesine yardımcı olur.
İmmünsüpresif İlaçlar: Bağışıklık sistemini baskılamak için kullanılan bu ilaçlar, hastalığın ilerlemesini engellemeye yardımcı olabilir. Azatiyoprin, metotreksat ve mikofenolat gibi ilaçlar bu kategoriye girer.
İmmünoglobulin Tedavisi (IVIg): Bağışıklık sistemini baskılamak ve kasları korumak için intravenöz immünoglobulin tedavisi uygulanabilir.
2. Fiziksel Terapi
Kas zayıflığına karşı fiziksel terapi, kasların güçlenmesine yardımcı olabilir. Fiziksel terapist, hastanın kaslarını güçlendirmek ve hareketliliğini artırmak için özel egzersiz programları oluşturur.
3. Beslenme ve Yaşam Tarzı
Yeterli beslenme, kasların iyileşmesini destekleyebilir. Ayrıca, hastalar enerji seviyelerini korumak için yeterli uyku almaya özen göstermelidir.
Polimiyozit, kasların iltihaplanması sonucu gelişen ciddi bir hastalıktır. Erken teşhis ve uygun tedavi, hastaların yaşam kalitesini artırabilir ve hastalığın ilerlemesini engelleyebilir. Polimiyozit, bağışıklık sisteminin kas dokularına zarar vermesi sonucu gelişir ve tedavi edilmezse kalıcı kas zayıflığına yol açabilir. Tedavi seçenekleri arasında ilaçlar, fiziksel terapi ve yaşam tarzı değişiklikleri bulunur. Polimiyozit hastalarının tedaviye erken başlaması, başarılı bir iyileşme süreci için oldukça önemlidir.

